Broken coller bone
A broken Collar bone (broken Clavicle) is a very common shoulder injury. A broken Collar bone frequently occurs when someone falls onto an out stretched hand. The force transmitted up the arm is often enough to cause this painful shoulder fracture.
Common Broken Collar Bone signs & symptoms:
- Extreme shoulder pain with a broken collar bone .
- There is often deformity where the fracture fragments are visible pushing against the skin surface.
- Bruising may be visible with a broken collar bone.
- A broken collar bone is usally caused by a extrinsic casue.

What you can do:
- Consult a sports injury expert
- Practice exercises to maintain a range of movement
- Therapy exercises
- Use resistance bands for shoulder strengthening exercises
- Wear a shoulder support for reasurrence
Shoulder bursitis
Shoulder bursitis is a common cause of shoulder pain that is often related to rotator cuff injury and tendonitis. This condition is sometimes called shoulder impingement syndrome. Shoulder bursitis can occur as a result of the Subacromial bursa being squashed or ‘impinged' between the rotator cuff muscles (Supraspinatus, Subscapularis, Infraspinatus and Teres Minor) and the bone, during repeated overhead shoulder movements.
Common Shoulder Bursitis signs & symptoms:
- Shoulder pain when raising the arm up.
- Limited shoulder movement.
- Pain on touching or lying on the tip of the shoulder.

What can you do:
- Consult an injury sports expert
- Apply ice packs to relieve pain and reduce inflammation
- Use resistance bands for strengthening exercises
- Wear a shoulder resistance for support
- Shoulder bursitis is caused intrinsically
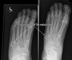
- Metertarsel fracture
Metatarsal fractures account for over 30% of traumatic foot injuries. Broken Metatarsals have been prominent across all professional sports in the past five years, with several high profile athletes suffering Metatarsal fractures. Metatarsal fractures can be caused by direct trauma, excessive rotational forces or overuse. The Fifth Metatarsal is the most commonly fractured Metatarsal.
The treatment of metatarsal fractures varies depending on the type and location of the fracture. If the fracture is due to direct trauma and the fracture fragments are well aligned then the treatment is immobilisation in a removable plastic cast and restricted weight bearing for 6 - 8 weeks. The same treatment is usually adequate for fractures of the other Metatarsal bones. However, stress fractures of the base of the Fifth Metatarsal sometimes show a poor healing capacity. For this reason, many orthopaedic consultants now favour surgical fixation.
Common Metatarsal Fracture Injury signs & symptoms:
- Severe foot pain.
- Swollen foot with bruising.
- Inability to walk on the broken foot.
What you can do:
- Consult a sports injury expert
- Apply ice packs to reduce swelling
- Protect the foot with a removeable cast
- Use a buoyancy aid for pool exercises
- Use a bone healing system to speed up broken bone healing
- A metertarsel fracture is normally caused by a extrinsic force
Broken Leg
A broken leg is most commonly due to a motorcycle accident although, because of the nature of the sport, a broken leg can occur in football (soccer) and other contact sports. In the case of football-related injuries, the fractures are caused either by a twisting force when the foot is fixed or by a direct blow from an opponent. Depending on the mechanism of injury, the fracture pattern may be different.
Common Broken Leg signs & symptoms:
- Severe pain in the leg that is broken.
- Deformity due to protruding bones.
- Swelling and bruising down the broken leg.
- A broken leg is caused by a extrinsic force which forces the leg to break
Treatment decisions are largely dependent upon the type of fracture. If the fracture is closed, and the evidence from x-ray films show the two fragments to be in close proximity, then the orthopaedic consultant will bring fragments as close together as is possible (usually under anesthetic) and fit a plaster cast to immobilise the injury site. The patient may be admitted to hospital in order that the medical team can observe the tightness of the cast and the pressure on the leg.
The usual healing time for a mid-shaft Tibia and Fibula fracture treated with cast immobilisation is 12 to 16 weeks. This is followed by rehabilitation with a Chartered Physiotherapist to restore the range of ankle and knee movement, and to restore the muscle strength that is lost during the immobilisation period. Depending on the fracture type and its location the orthopaedic doctor may allow the use of a Removable Plastic Cast Walker instead of a plaster cast.
(http://www.physioroom.com/injuries/calf_and_shin/tibia_fibula_fracture_sum.php)
